
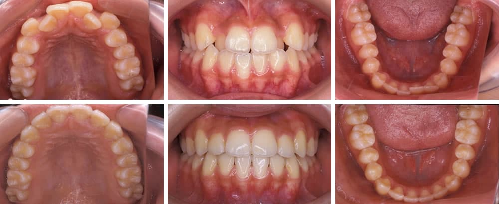
年齢・性別
34歳・男性
治療期間
2年6ヶ月
治療費
880,000円(税込)
治療のリスク
骨吸収、歯間空隙(ブラックトライアングル)
治療方法
非抜歯ケース 表側矯正
出っ歯が気になると来院されました。上顎前突の為、唇が閉じにくく口元が突出しています。また顎の違和感も訴えておられました。 表側にセラミックブラケットを装着し矯正開始。歯科用アンカースクリュー(インプラント矯正、TAD)も併用しました。上の前歯が後ろに下がることによって下の前歯ともしっかり噛み合い、唇も閉じやすくなりました。顎関節の違和感も軽減した。また口元が改善したことを患者さんは喜んでおられました。











